Viêm loét vùng niêm mạc miệng đơn giản mà khó điều trị
Bệnh tưởng chừng như nhẹ và vô hại song nhiều khi kéo dài, hay tái phát và điều trị cũng đôi lúc gặp nhiều khó khăn.
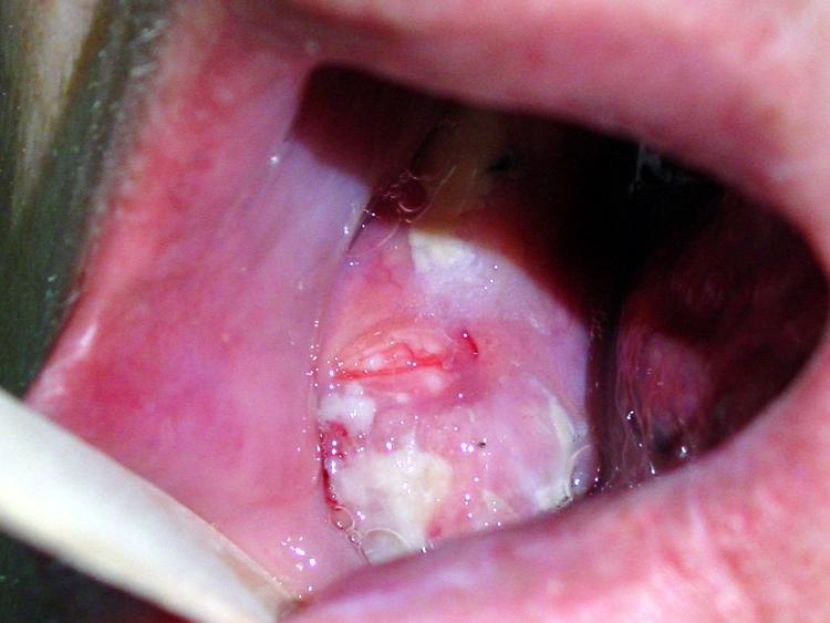
Viêm loét vùng niêm mạc miệng là một bệnh lý thuộc về răng miệng, rất hay gặp.
Viêm loét vùng niêm mạc miệng
Bệnh tưởng chừng như nhẹ và vô hại song nhiều khi kéo dài, hay tái phát và điều trị cũng đôi lúc gặp nhiều khó khăn.
Do đó việc thăm khám kỹ để xác định vị trí, số lượng, độ lớn, mật độ màu sắc, đặc điểm bề mặt và bờ của bệnh viêm loét vùng niêm mạc miệng, mối liên quan của chúng với tổ chức xung quanh, tính chất xuất tiết của tổn thương để tìm ra nguyên nhân gây bệnh là điều rất quan trọng.
Qua đó mới có thể điều trị đặc hiệu dứt điểm bệnh được, nhất là trong những trường hợp viêm loét miệng dai dẳng kéo dài.
Nguyên nhân của viêm loét vùng niêm mạc miệng có rất nhiều chứ không đơn giản như chúng ta tưởng, một số nguyên nhân thường gặp là:
– Viêm loét niêm mạc miệng thông thường do nhiễm khuẩn.
– Viêm loét do nhiệt, do uống nhiều bia, rượu, cà phê và hút thuốc lá. Ngoài ra, chế độ ăn uống thiếu sinh tố, nhất là sinh tố nhóm B, PP, Vitamin C gây tình trạng táo bón và sức đề kháng của niêm mạc miệng giảm, rất dễ bị tổn thương.
– Viêm loét niêm mạc miệng do nấm, hay gặp do nhiễm Candida.
– Đôi khi lở loét ở miệng do một nguyên nhân bệnh lý toàn thân khác như tiểu đường, xơ gan.
Việc điều trị tốt nhất vẫn là chữa theo nguyên nhân, song nhiều khi tìm được nguyên nhân cũng rất khó một phần do chủ quan người bệnh ít để ý tới tình trạng bệnh lý này, coi thường bệnh nhẹ, nên thường phải thăm khám kỹ, làm xét nghiệm tổng quát.
Do vậy, bạn cần thiết phải được khám về chuyên khoa răng miệng.







































Trả lời